
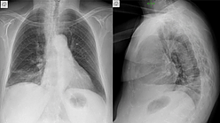
Opacidad en vidrio deslustrado en el lóbulo inferior derecho.

3 días después
Aumento leve de la opacidad en vidrio deslustrado, sin cambios en los otros lóbulos.
aunque la infección por SARS-CoV-2 (COVID-19) se describe por tener un curso rápidamente progresivo, a veces puede manifestarse como vidrio deslustrado que permanece relativamente estable. En este caso, la paciente, a pesar de su edad, permaneció clínicamente estable y fue dada de alta a la cuarentena domiciliaria.
CASO 2

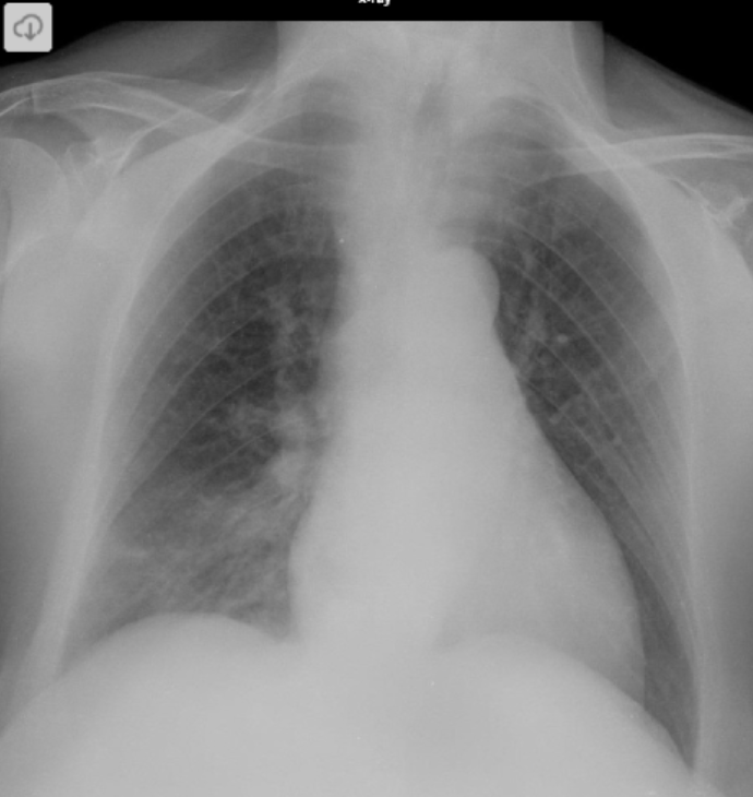
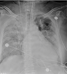
Paciente de 79 años, género femenino, presentó dolor torácico, tos y fiebre de tres días de evolución. Dos miembros de su familia habían sido diagnosticados de COVID-19 recientemente. La paciente desarrolló el Síndrome de Dificuldad Respiratoria Aguda en los días siguientes y falleció once días después de su ingreso.

One response
Hola, esto es un comentario.
Para borrar un comentario simplemente accede y revisa los comentarios de la entrada. Ahí tendrás la opción de editarlo o borrarlo.